Pernahkah Anda sedang asyik menikmati es kopi atau minuman dingin, tiba-tiba muncul rasa nyeri tajam yang menusuk di gigi? Sensasi gigi ngilu ini sering kali datang mendadak dan hilang dengan cepat, namun sangat mengganggu kenyamanan makan Anda π«.
Banyak yang menganggap gigi ngilu adalah hal biasa, padahal secara medis, rasa ngilu merupakan tanda bahwa lapisan pelindung gigi Anda telah menipis atau saraf gigi mulai terpapar dunia luar. Di Guyu Dental House, kami membantu Anda menemukan penyebab pastinya agar penanganannya tepat sasaran.
Mengapa Gigi Terasa Ngilu? π€
Rasa ngilu atau gigi sensitif terjadi ketika lapisan enamel (lapisan terluar gigi) terkikis, sehingga lapisan dentin di bawahnya terbuka. Dentin memiliki saluran-saluran mikroskopis yang terhubung langsung ke saraf gigi. Ketika terkena rangsangan dingin, panas, atau manis, saraf akan bereaksi dengan rasa nyeri tajam.
Penyebab Utama Gigi Ngilu Secara Medis
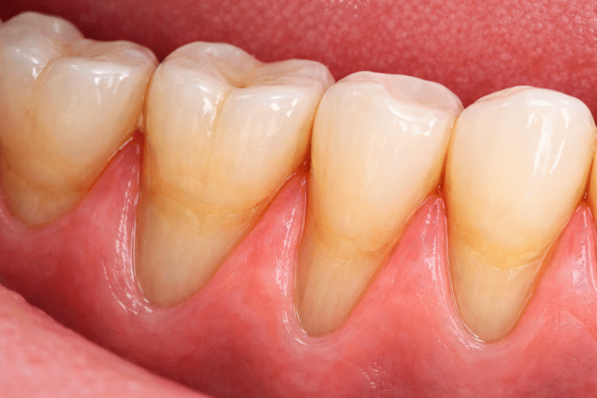
- Gusi Turun (Resesi Gusi): Penurunan gusi membuat akar gigi terbuka. Akar gigi tidak memiliki lapisan enamel, sehingga sangat sensitif terhadap suhu[cite: 26].
- Enamel Gigi Terkikis (Abrasi): Sering disebabkan oleh kebiasaan menyikat gigi terlalu keras atau menggunakan bulu sikat yang kasar.
- Karang Gigi yang Menumpuk: Karang gigi yang dibiarkan bisa menyebabkan peradangan gusi dan mengekspos bagian gigi yang sensitif. Segera lakukan scaling gigi secara rutin untuk mencegah hal ini[cite: 32].
- Gigi Berlubang: Lubang yang mencapai lapisan dentin pasti akan memicu rasa ngilu saat makan atau minum.
- Kebiasaan Bruxism: Kebiasaan menggeretakkan gigi (clinching) saat tidur dapat mengikis permukaan gigi secara signifikan.
Solusi Medis untuk Mengatasi Gigi Ngilu
Jangan biarkan rasa ngilu membatasi pilihan kuliner Anda. Berikut adalah beberapa langkah penanganan di klinik:
- Aplikasi Fluoride: Memberikan lapisan pelindung tambahan pada enamel gigi untuk memperkuat bagian yang sensitif.
- Penambalan Gigi: Jika ngilu disebabkan oleh lubang atau abrasi pada leher gigi, tambal gigi komposit adalah solusi yang paling efektif[cite: 32].
- Scaling Gigi: Membersihkan pemicu radang gusi agar kesehatan jaringan penyangga gigi kembali optimal[cite: 32].
Di Guyu Dental House, tim dokter kami akan memeriksa kondisi enamel dan gusi Anda secara menyeluruh untuk memberikan solusi yang paling nyaman bagi Anda.
Bebas Makan & Minum Dingin Tanpa Rasa Ngilu! β¨
Kembalikan kenyamanan mulut Anda dengan perawatan gigi sensitif yang tepat di Guyu Dental House. Konsultasikan sekarang di cabang terdekat! π¦·
Kunjungi Kami di Sleman & Godean:
π Lokasi Jl. Bibis (Godean)
π Lokasi Jl. Tata Bumi (Gamping)
Reservasi Cepat & Mudah via WhatsApp:

