Crown Gigi Jogja (Sarung Gigi)
Solusi Memperbaiki Gigi Rusak Parah

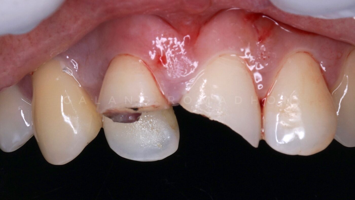
Gigi yang rusak parah, patah, berlubang sangat besar, atau rapuh setelah perawatan saluran akar (PSA) seringkali tidak dapat diperbaiki hanya dengan tambalan biasa. Solusi terbaik untuk mengembalikan bentuk, fungsi, dan kekuatannya adalah dengan Crown Gigi atau yang sering disebut Sarung Gigi.

Reservasi Jadwal Konsultasi
Guyu Dental House

Crown Gigi (Sarung Gigi)

Perawatan ini berfungsi seperti “helm” yang membungkus dan melindungi seluruh sisa mahkota gigi Anda, membuatnya kuat kembali dan terlihat estetis seperti gigi alami yang utuh.

Kapan Anda Membutuhkan Crown Gigi?

Crown gigi adalah perawatan restoratif yang sangat penting. Dokter gigi kami akan merekomendasikan pemasangan crown jika Anda mengalami kondisi berikut:

Setelah Perawatan Saluran Akar (PSA

Gigi yang telah dirawat akarnya (mati) akan menjadi rapuh. Crown wajib dipasang untuk melindunginya agar tidak patah saat mengunyah.

Gigi Berlubang Sangat Besar

Ketika lubang sudah terlalu luas dan sisa struktur gigi sehat tidak cukup kuat untuk menopang

Gigi Patah atau Retak Parah

Untuk “mengikat” bagian gigi yang retak agar tidak pecah lebih lanjut dan mengembalikan bentuknya.

Memperbaiki Estetika Ekstrem

Untuk memperbaiki gigi dengan kelainan bentuk atau warna sangat gelap yang tidak dapat diatasi oleh

Sebagai Penopang Bridge (Jembatan Gigi)

Crown dipasang pada gigi-gigi sehat di sebelah area ompong untuk menjadi jangkar bagi gigi tiruan jembatan.

Guyu Dental House

Manfaat Utama Memasang Crown Gigi

Memasang crown bukan hanya soal estetika, tapi juga investasi untuk kesehatan dan fungsi jangka panjang:

Mengembalikan Kekuatan

Melindungi gigi yang rapuh (terutama pasca-PSA) dari risiko patah atau pecah saat berfungsi.

Mengembalikan Fungsi Kunyah

Anda dapat kembali makan dan mengunyah dengan normal tanpa rasa takut atau tidak nyaman.

Mengembalikan Estetika

Dibuat di laboratorium, bentuk dan warna crown dapat disesuaikan agar terlihat natural dan serasi dengan gigi lainnya.

Perlindungan Jangka Panjang

Menutup seluruh permukaan gigi, melindunginya dari bakteri dan kerusakan lebih lanjut.

Guyu Dental House

Pertanyaan yang Sering Diajukan (FAQ)

Biaya pemasangan crown gigi mulai dari Rp 2.000.000,- per gigi. Harga akhir akan bergantung pada bahan yang Anda pilih (misalnya, Zirconia atau PFM – Porcelain Fused to Metal).

Tidak. Seluruh prosedur, terutama saat pengasahan gigi, dilakukan dengan anestesi (bius) lokal. Anda tidak akan merasakan sakit sama sekali selama proses.

Veneer: Hanya melapisi bagian depan gigi untuk tujuan estetika.

Crown: Menyarungi seluruh mahkota gigi (360 derajat) untuk tujuan kekuatan, perlindungan, dan estetika.

Dengan kebersihan mulut yang baik (menyikat gigi dan flossing rutin) serta kontrol teratur, crown gigi berkualitas tinggi dapat bertahan sangat lama, mulai dari 5 hingga 15 tahun, bahkan lebih.

GUYU DENTAL HOUSE

Mulai Perjalanan Anda Menuju Senyum Impian

Senyum rapi dan sehat bukan lagi sekadar mimpi. Diskusikan keinginan Anda dengan tim dokter kami dan temukan solusi behel terbaik untuk Anda.

Reservasi Jadwal Konsultasi