Tambal Gigi Estetis: Solusi Gigi Berlubang yang Natural

Atasi gigi berlubang dengan solusi modern di Guyu Dental House. Pelajari tentang tambal gigi estetis yang kuat, tahan lama, dan sewarna dengan gigi asli Anda.

Reservasi Jadwal Konsultasi
Guyu Dental House

Tambal Gigi Estetis

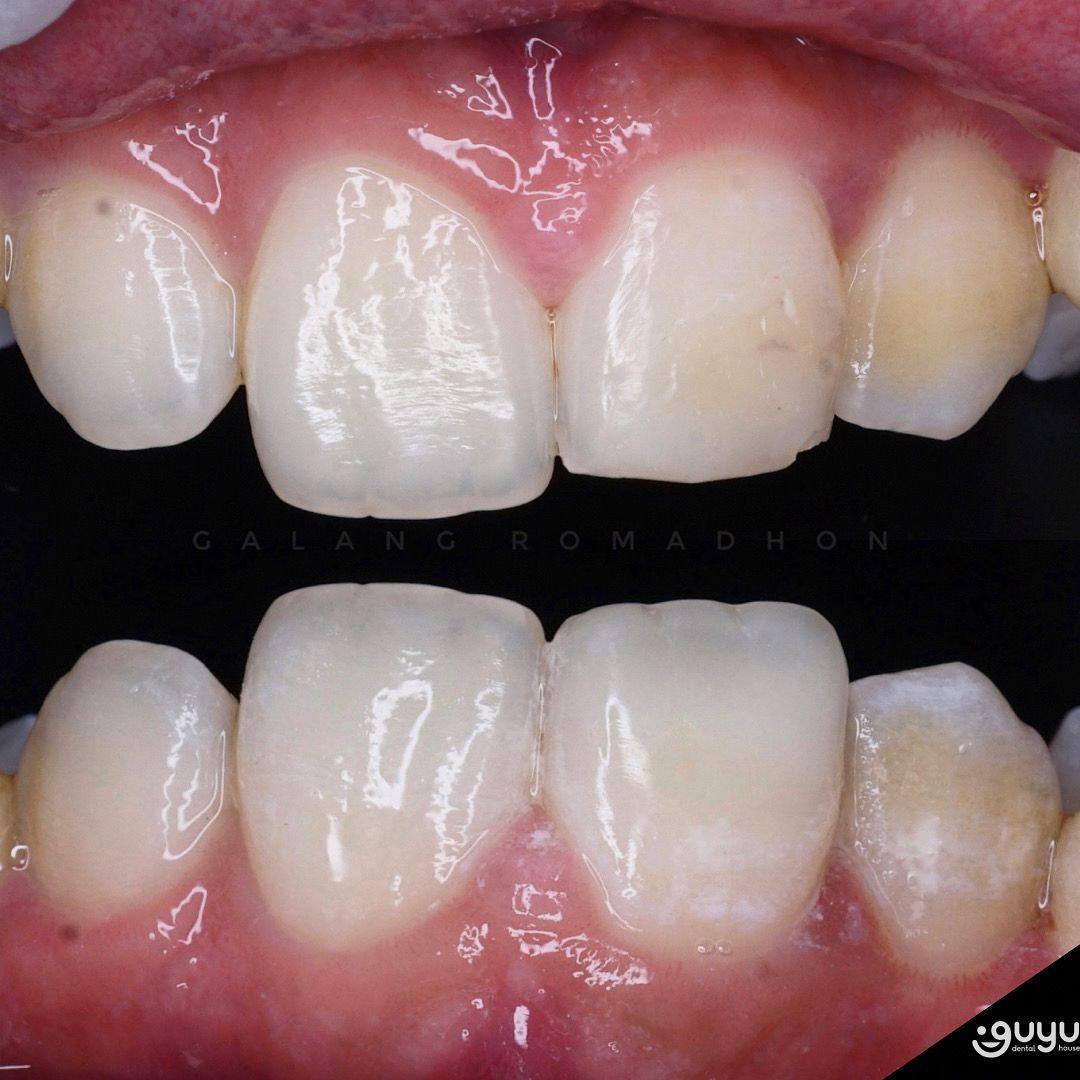
Gigi berlubang yang dibiarkan dapat menyebabkan rasa tidak nyaman dan kerusakan yang lebih parah. Di Guyu Dental House, kami menawarkan solusi modern melalui tambal gigi estetis. Menggunakan bahan komposit berkualitas tinggi yang warnanya disesuaikan dengan gigi asli Anda, kami tidak hanya mengembalikan fungsi dan kekuatan gigi, tetapi juga menjaga keindahan senyum natural Anda.

Tanda-Tanda Anda Membutuhkan Tambal Gigi

Gigi Berlubang

Terlihat lubang atau noda kehitaman pada permukaan gigi yang tidak bisa hilang saat disikat, menandakan adanya kerusakan email gigi.

Rasa Ngilu & Sensitif

Gigi terasa ngilu atau sensitif saat mengonsumsi makanan atau minuman yang manis, panas, atau dingin.

Makanan Sering Tersangkut

Sisa makanan sering terselip di celah atau lubang pada gigi yang sama, menandakan adanya area yang rusak.

Tambalan Lama Rusak

Tambalan lama terlihat retak, berubah warna, atau terasa kasar, sehingga perlu diganti untuk mencegah kerusakan lebih lanjut.

Guyu Dental House

Manfaat Utama Tambal Gigi Estetis

Hasil Sangat Natural

Warna tambalan disesuaikan sempurna dengan warna gigi asli Anda, sehingga tidak terlihat seperti ditambal.

Proses Cepat & Nyaman

Perawatan umumnya dapat diselesaikan dalam satu kali kunjungan dengan prosedur yang minim rasa sakit.

Mengembalikan Fungsi Gigi

Mengembalikan kemampuan gigi untuk mengunyah secara normal dan nyaman.

Mencegah Kerusakan Lanjutan

Menutup lubang pada gigi menghentikan proses pembusukan dan mencegah infeksi yang lebih parah.

Guyu Dental House

Pertanyaan yang Sering Diajukan (FAQ)

Tambal gigi estetis adalah prosedur penambalan menggunakan bahan resin komposit. Bahan ini memiliki keunggulan karena warnanya bisa disesuaikan persis seperti warna gigi asli, memberikan hasil akhir yang natural.

Tidak. Sebelum tindakan, area di sekitar gigi akan diberi anestesi lokal sehingga Anda tidak akan merasakan sakit sama sekali. Kenyamanan Anda adalah prioritas kami.

Untuk kasus gigi berlubang yang tidak kompleks, prosedur penambalan biasanya dapat diselesaikan dalam satu kunjungan yang berlangsung sekitar 30-60 menit.

Dengan teknik penambalan yang baik dan perawatan kebersihan mulut yang rutin, tambalan komposit dapat bertahan selama bertahun-tahun.

Biaya mulai dari Rp 200.000,- tergantung ukuran lubang dan tingkat kesulitan kasus. Kami akan memberikan rincian biaya yang transparan setelah pemeriksaan. Silakan hubungi admin kami untuk informasi lebih lanjut.

GUYU DENTAL HOUSE

Jangan Biarkan Gigi Berlubang Mengganggu Senyum Anda

Solusi cepat, nyaman, dan estetis ada di Guyu Dental House. Jadwalkan sesi penambalan gigi Anda hari ini untuk senyum yang sehat dan utuh kembali.

Reservasi Jadwal Konsultasi