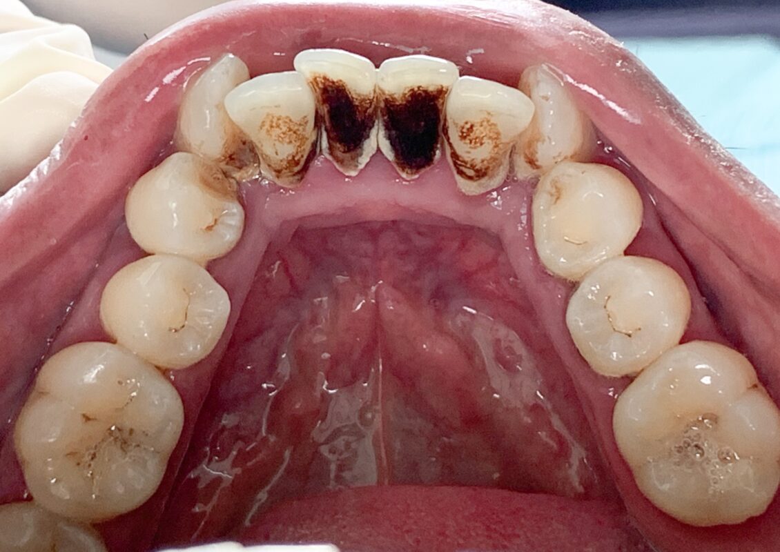
Pernahkah Anda merasakan lapisan lengket dan licin pada permukaan gigi saat lidah merabanya? Di tahun 2026, para ahli kesehatan mulut semakin menekankan pentingnya mengontrol plak gigi sedini mungkin. Plak adalah lapisan tipis tak berwarna berisi kumpulan bakteri (biofilm) yang terus-menerus terbentuk pada gigi. Jika tidak segera dibersihkan, plak akan bereaksi dengan air liur dan berubah menjadi karang gigi yang keras β¨π¦·.
Di Guyu Dental House, kami percaya bahwa mencegah lebih baik daripada mengobati. Memahami cara kerja plak adalah kunci utama untuk menjaga gigi tetap kuat dan gusi tetap sehat tanpa harus sering menjalani prosedur medis yang kompleks.
Bagaimana Plak Gigi Bisa Terbentuk? π€π‘
Plak gigi terbentuk ketika bakteri di dalam mulut bercampur dengan sisa makanan yang mengandung protein, gula, dan karbohidrat. Bakteri ini kemudian menghasilkan asam yang dapat merusak enamel gigi. Jika Anda memiliki susunan gigi yang tidak rata atau berjejal, plak akan lebih mudah menumpuk di sela-sela yang sulit dijangkau, sehingga terkadang diperlukan perawatan behel gigi untuk memudahkan pembersihan mandiri π¦·.
sumber : https://www.kirklanddentalexcellence.com/blog/health/plaque-vs-tartar/
Bahaya Tersembunyi Plak Gigi yang Diabaikan π¨
Meskipun plak awalnya lunak, keberadaannya yang menetap dapat memicu berbagai masalah serius:
- Gigi Berlubang (Karies): Asam dari plak mengikis email dan menyebabkan gigi berlubang. Jika sudah parah, Anda mungkin memerlukan tambal gigi estetis π.
- Penyakit Gusi: Bakteri dalam plak dapat memicu peradangan gusi (gingivitis). Jika dibiarkan, gusi akan membengkak dan Anda mungkin memerlukan obat gusi bengkak sebagai penanganan awal π«.
- Napas Tak Sedap: Gas yang dihasilkan oleh aktivitas bakteri plak adalah penyebab utama bau mulut yang membandel.
- Gigi Sensitif: Erosi akibat asam plak mengekspos lapisan dentin, menyebabkan gigi sensitif yang sangat ngilu saat terkena minuman dingin βοΈ.
π§Ό Gigi Terasa Kurang Bersih Meski Sudah Sikat Gigi?
Plak yang sudah mengeras hanya bisa dihilangkan dengan Scaling profesional. Kembalikan kebersihan gigi Anda secara menyeluruh di Guyu Dental House sekarang!
Cara Menghilangkan Plak Sebelum Mengeras π
Kabar baiknya, plak gigi yang masih lunak sangat mudah dihilangkan di rumah dengan langkah-langkah yang tepat:
- Sikat Gigi 2 Kali Sehari: Gunakan teknik menyikat yang benar minimal selama 2 menit untuk memastikan seluruh permukaan gigi terjangkau.
- Gunakan Dental Floss (Benang Gigi): Sikat gigi tidak bisa menjangkau celah antar gigi. Flossing sangat vital untuk membuang plak di area tersebut.
- Batasi Konsumsi Gula: Kurangi asupan camilan manis yang menjadi “bahan bakar” bagi bakteri pembentuk plak.
- Gunakan Mouthwash: Cairan kumur antiseptik dapat membantu mengurangi jumlah bakteri patogen di dalam rongga mulut.
Kapan Harus Melakukan Scaling Gigi? π₯β¨
Jika plak sudah terpapar mineral dari air liur selama lebih dari 48 jam, ia akan mengeras menjadi karang gigi yang tidak bisa hilang dengan sikat gigi biasa. Di tahap ini, scaling gigi profesional di dokter gigi adalah satu-satunya solusi aman π§Ό.
Jangan menunggu hingga muncul abses gigi atau nyeri hebat. Membersihkan karang gigi secara rutin setiap 6 bulan sekali akan menjaga senyum Anda tetap sehat dan mencegah risiko pencabutan di masa depan.
Kesimpulan π₯π
Plak gigi adalah musuh utama kesehatan mulut yang bekerja secara diam-diam. Dengan disiplin menjaga kebersihan di rumah dan rutin berkunjung ke klinik gigi terbaik di Jogja, Anda dapat memiliki gigi yang kuat dan napas yang segar sepanjang hari di tahun 2026.
Jaga Senyum Bersih Anda Bersama Kami! π¦·β¨
Dapatkan pelayanan pembersihan gigi yang profesional, tulus, dan transparan di Guyu Dental House Yogyakarta. Hubungi kami sekarang!
Jl. Tata Bumi Selatan No.RT 11, Gamping, Sleman
π 0812-2587-9191 (WhatsApp)
β° Sen-Sab (10.00-21.00), Minggu (16.00-21.00)
Jl. Bibis, Area Sawah, Sidoarum, Godean, Sleman
π 0853-1900-6161 (WhatsApp)
β° Sen-Sab (10.00-21.00), Minggu (Tutup)
Layanan Unggulan Guyu Dental House π¦·β¨
Perawatan Saluran Akar
Menyelamatkan gigi yang terinfeksi saraf tanpa perlu dicabut.
Operasi Gigi Bungsu
Pencabutan gigi bungsu impaksi dengan prosedur minim rasa sakit.

